クリニック案内
お知らせ
理事長・院長からの挨拶
施設基準(掲示事項)
ハラスメントに対する方針
お薬の処方について
よくある質問
アクセス
診療時間
診療科目
内科
消化器内科
整形外科
リハビリテーション科
皮膚科
検診・ドック・予防接種
健康診断
脳ドック
予防接種
導入検査機器
CT
MRI
骨密度測定
生理検査機器
内視鏡検査機器
医療機関の方へ
アクセス
お知らせ
診療時間
診療科目
アクセス
CT
ホーム
導入検査機器
CT
GEヘルスケア製
Revolution ACT(16ch)
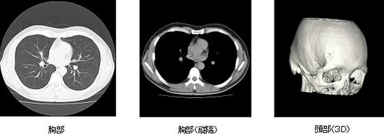
当クリニックでは、最新型の16列全身用コンピュータ断層撮影装置 Revolution ACTを使用しています。
CT 検査による画像例
ページ上部へ戻る
クリニック案内
お知らせ
理事長・院長からの挨拶
施設基準(掲示事項)
ハラスメントに対する方針
お薬の処方について
よくある質問
アクセス
診療時間
診療科目
内科
消化器内科
整形外科
リハビリテーション科
皮膚科
検診・ドック・予防接種
健康診断
脳ドック
予防接種
導入検査機器
CT
MRI
骨密度測定
生理検査機器
内視鏡検査機器
医療機関の方へ
アクセス
048-658-0100